Confident smiles are like a breath of fresh air.

Enjoy a brighter, more confident smile today with cosmetic dentistry at Gatlin Creek Dentistry in Dripping Springs, TX.

 
shutterstock_1344110627.jpg
 

Smile Transformations at Gatlin Creek Dentistry

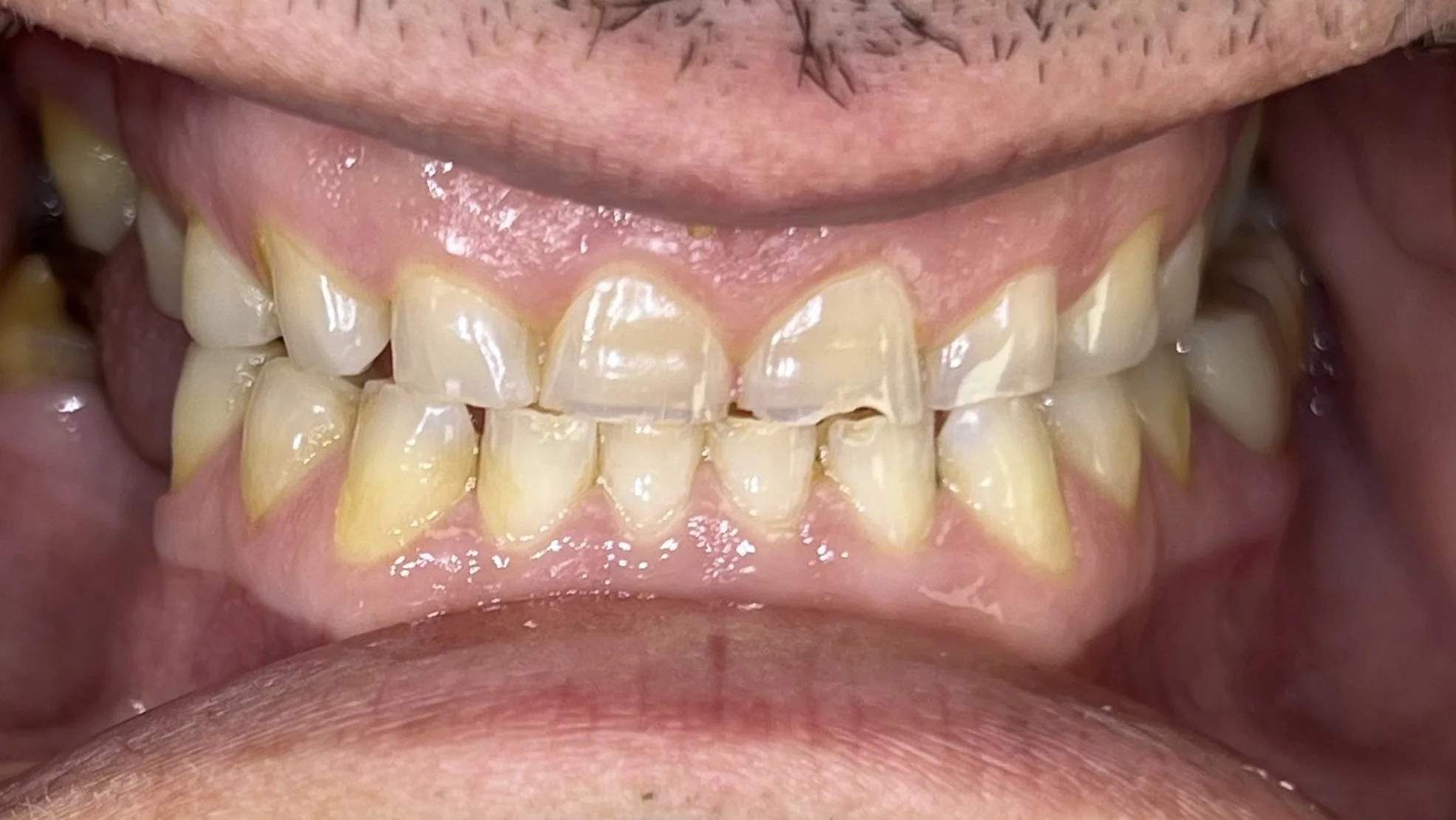
"We restored this patient's teeth and smile in 2 appointments. He was so pleased and excited to have his smile back from 20 years ago." See the results below.

 

Before

After

 
 

CHOOSE A SERVICE THAT WILL MAKE YOU SMILE.

 

Cosmetic dentistry is an ever evolving term. In the early days of dentistry, anything that restored a tooth to proper function utilizing proper tooth form was considered cosmetic dentistry.

Today, cosmetic dentistry is considered to be anything that restores teeth to proper form and function with proper shape and color to the ideal relative to the general population. This can include anything from a routine filling to dental implants. Whatever your oral health goals, Dr. Shane Whisenant and his team at Gatlin Creek Dentistry in Dripping Springs, TX, can help you achieve the smile you deserve.

 
Schedule an appointment today